病例分享|Emboshield Nav?抗栓塞远端?;ぷ爸孟耇AVR一例
导语
复旦大学附属中山医院葛均波院士、周达新教授结构性心脏病团队在OCC 2021转播了一例Emboshield Nav6抗栓塞远端?;ぷ爸孟?/font>TAVR手术,获得圆满成功。
背景
“TAVR经动脉入路至左心室的通路中,任何一个部位脱落的碎屑或急性栓子/组织/异物都可能导致术后脑中风的发生。
既往研究也提示,TAVR术后卒中风险的发生率为1.4%-7%,而TAVR围手术期中风者较未中风患者死亡率增加3倍。因此,TAVR手术过程中脑?;ひ彩遣豢珊雎缘囊桓龌方凇!?/font>
TAVR术中应用脑?;ぷ爸迷诠谌源τ谄鸩浇锥?,仅见少数病例中被报道。但是,未来选择性在TAVR术中预先置入脑?;ぷ爸糜型夜苹灾鞫霭晗琳颊呓档湍匝苁录⑸缦?。
病史资料 >>>>>>
患者:男性,81岁;
主诉:反复胸闷气促5年伴胸痛;
心脏超声诊断:主动脉瓣明显增厚钙化伴极重度狭窄及轻度反流(最大流速: 6.07 m/s,峰值压差:147 mmHg,平均压差:65 mmHg),左室壁明显增厚致乳头肌水平以上至心尖部梗阻(峰值压差123 mmHg),轻度二尖瓣狭窄;
既往史:合并冠心病(10年前PCI手术史)、高血压、高脂血症、帕金森,心功能不全III级;
心外科STS评分:7.97%,外科手术风险高危。
术前CT评估 >>>>>>
主动脉瓣评估:患者为三叶式主动脉瓣,瓣叶可见多发斑点团片结节状钙化,瓣环见粗大钙化,瓣环周长77 mm,瓣口开放面积61 mm2,左室流出道见条片状钙化。

手术策略 >>>>>>
经过复旦中山葛均波院士、周达新教授团队的仔细探讨,该患者主动脉瓣瓣叶、左室流出道钙化严重,球囊预扩、瓣膜释放过程中都存在脑卒中风险,因此该患者适合置入脑?;ぷ爸孟陆?/font>TAVR。结合该患者的超声及CT分析,最终考虑选择20 mm微创球囊充分扩张后,植入24 mm VitaFlow瓣膜。
手术过程 >>>>>>
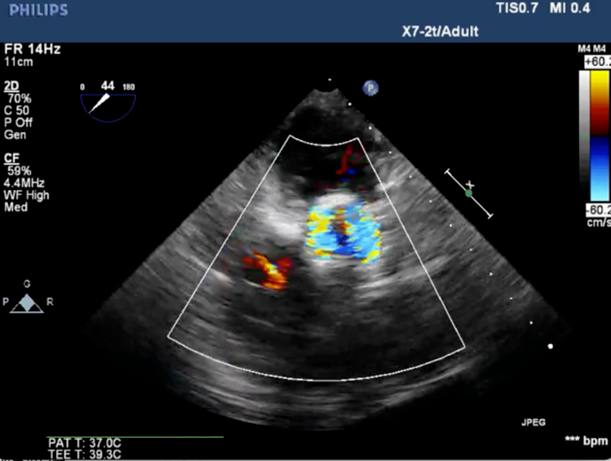
1、经右股动脉将Emboshield Nav6放栓塞装置输送至左、右颈内动脉。
2、经左股动脉入路,顺利跨瓣后,选取20 mm球囊于180 bpm下快速起搏预扩,显示无漏,左、右冠脉未受影响,但可见左冠窦、无冠窦巨大钙化团块。
3、按照既定策略,选择24 mm VitaFlow微创瓣膜,于180 bpm快速起搏下,快速一次性释放。

4、术后心电监护未见传导阻滞,心超提示人工主动脉瓣工作良好,瓣叶启闭正常,主动脉瓣峰值流速2 m/s,平均跨瓣压差6 mmHg,轻度瓣周漏。

主动脉根部造影示瓣膜位置合适(深度2 mm),轻度瓣周漏。遂释放瓣膜,撤回脑?;ぷ爸?,手术圆满成功。

总结 >>>>>>
对于发展迅猛的TAVR技术,在回顾、总结既往经验基础上,我中心对主动脉瓣患者进行自膨胀主动脉瓣置入时,提出了创新性的“三高”释放策略,即:起始时相对高位、打开时高速起搏、锚定后快速释放,以降低瓣膜移位导致瓣周漏、瓣中瓣等不良事件的风险。
同时,TAVR术中脑?;ひ仓档霉刈?,可以有效的防治脑栓塞,能够改善患者生存及生活质量。

