周卫忠、杨魏:血管塞治疗自发性门体分流病例分享
肝硬化门静脉高压常见并发症,包括曲张静脉破裂出血、腹水或肝性脑?。?/font>HE)。对于自发性门体分流所致反复肝性脑病的患者,药物治疗难以控制后通过何种手术治疗,尚无共识或指南。江苏省人民医院介入放射科周卫忠、杨魏医生应用TIPS联合异常分流道近端栓塞的方法成功治疗自发性门体分流病例,随访至今未再发生肝性脑病,是值得进一步探索研究的治疗方法。本期分享了两位医生对该病例的治疗策略及手术经验见解,欢迎阅读。
▎病例分享 ▎
一、基本情况
1)病史
-
患者:男性,61岁
-
主诉:步态不稳1周伴乏力、发热4天
-
现病史:1周前患者无明显诱因出现步态不稳,计算力下降,于本院门诊查血氨:110 μmo1/L,为求进一步诊治入院
-
既往史:患者既往有酒精性肝病病史,肝硬化伴胃底食管静脉曲张,“肝性脑病”
-
个人史:有饮酒史,饮酒40年每日3两白酒,戒酒两年余
-
初步诊断:酒精性肝硬化失代偿期;肝性脑病;食管胃底静脉曲张;门静脉高压;低蛋白血症;脾功能亢进;全血细胞减少;低钾血症
-
入院检验:


2023年7月22日-8月10日血氨测定情况
-
入院检查:
2023-07-25肝胆胰脾彩色多普勒:肝硬化,肝门静脉纤细,血流反向,门静脉高压可能。胆囊壁稍粗增厚。脾稍大。腹腔未见明显液性暗区。

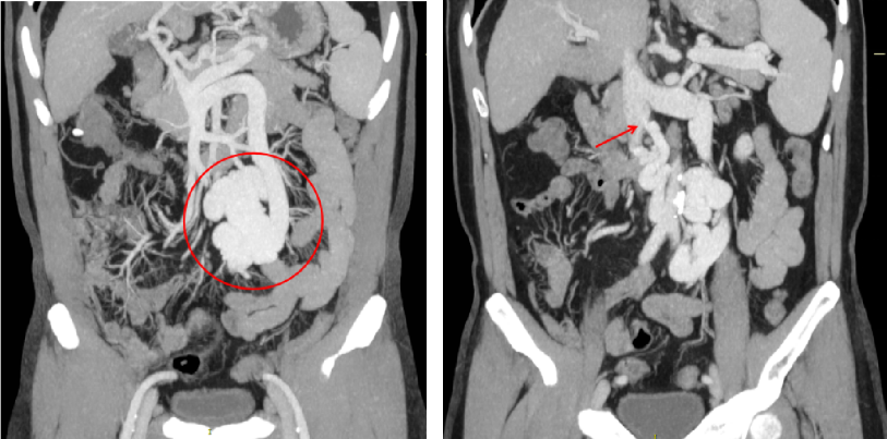
2023-08-10 多排CT全腹部直接增强:肝硬化,脾大,门静脉纤细,食管胃底静脉曲张、异常分流道(肠系膜下静脉-下腔静脉分流,引流端近下腔静脉肾静脉分叉处)

2)术前状况
患者体温正常,反应尚可,计算力稍下降,未诉其他不适,饮食睡眠可,二便正常。查体:神志清,精神可,发育正常,营养良好,皮肤黏膜、巩膜无黄染,无肝掌,可见蜘蛛痣。全身浅表淋巴结无肿大,心肺听诊无特殊。腹部正常,无压痛及反跳痛。Murphy征阴性,肝脾肋下未触及,移动性浊音阴性,双侧肾区无叩痛,双侧下肢无水肿,扑翼样震颤弱阳性,生理反射正常,病理反射未引出。
Child-Pugh评分:8分 B级 MELD-Na评分 14分,mALBI评分-1.92分2a级,体能评分0分,肝性脑病I期
二、对症治疗
1.药物治疗:使用药物进行降血氨、保肝、护胃、补钾、退黄、调节肠道菌群减少血氨生成及吸收、补充白蛋白
2.手术:TIPS联合异常分流道近端栓塞
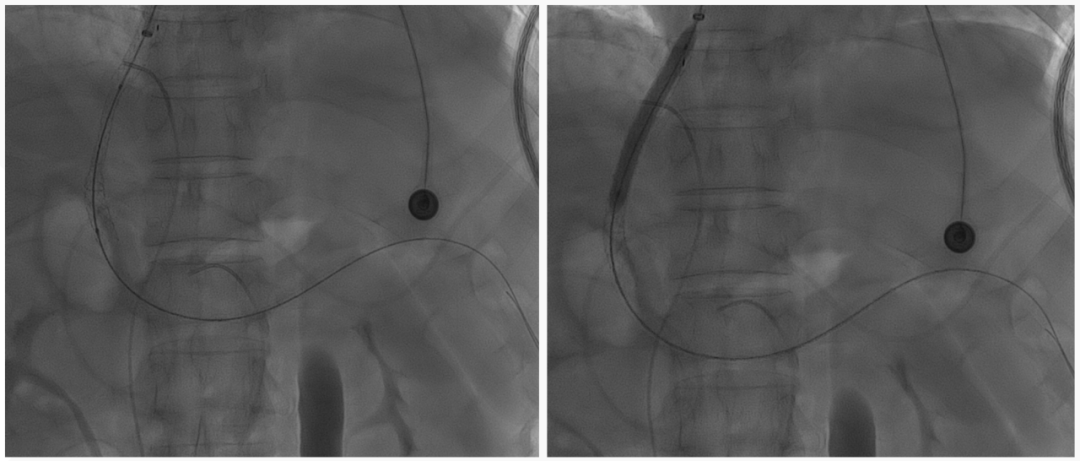
三、手术过程

至肠系膜上动脉行间接门静脉造影,未见门静脉显影,可见巨大异常分流道,遂至脾动脉行间接门脉造影可见门静脉异常纤细,肠系膜下静脉见异常分流道形成

以微导管行肝动脉标记辅助穿刺,门静脉造影显示血流呈离肝状态

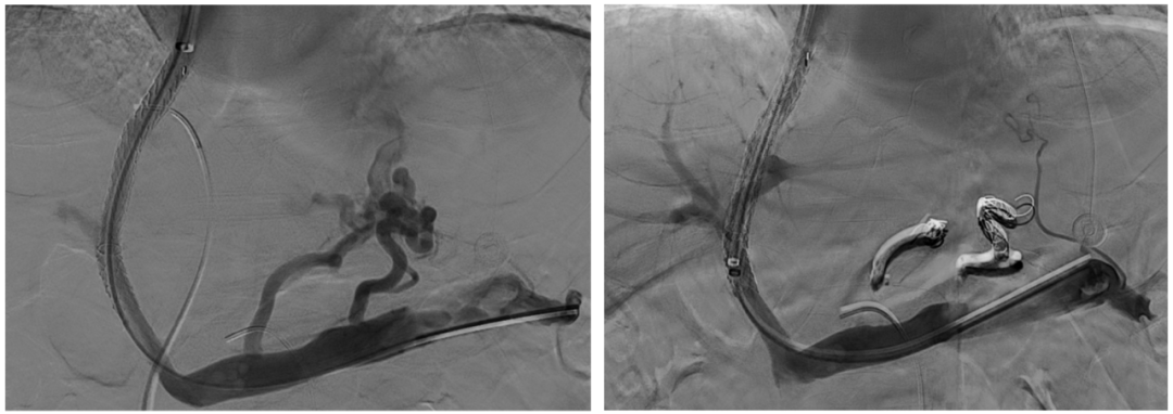
超选至肠系膜下静脉异常分流道,予以栓塞18mm的Amplatzer vascular plug及适量25%生物胶,造影示异常分流道消失

8mm覆膜支架释放于肝内穿刺道,考虑门脉纤细,遂以6mm球囊后扩张

异常分流道栓塞后,再次行门静脉造影,血流呈向肝状态,食管胃底曲张静脉较前更显著,微导管超选至曲张的胃冠状静脉,予以弹簧圈及25%生物胶栓塞,造影示曲张静脉消失,肝内门脉显影较术前显著改善
四、术后随访复查(1月)
1)超声复查
TIPS术后:
? 支架内血流充填好,支架内峰值流速206cm/s
? 门静脉主干内径12mm,门静脉血流信号充填良好,为单色向肝血流,PSV 72cm/s
? 脾静脉胰腺段内径9mm,PSV 37cm/s,脾门处内径10mm,PSV 36cm/s
? 肠系膜上静脉近汇合处内径9mm,PSV 41cm/s
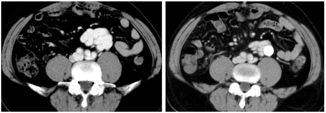
2)腹部增强CT

异常分流道曲张静脉较前显著萎缩
3)出院前检查
患者无特殊不适,反应尚可,计算力较前恢复。神志清,精神可,皮肤黏膜、巩膜无黄染,无肝掌,可见蜘蛛痣。全身浅表淋巴结无肿大,心肺听诊无特殊。腹部正常,无压痛及反跳痛。Murphy征阴性,肝脾肋下未触及,移动性浊音阴性,双侧肾区无叩痛,双侧下肢无水肿。
2023-08-16 血氮(干化学法):41.8 umo1/L
自发性门体分流
Spontaneous portosystemic shunt,SPSS
-
门静脉高压是肝硬化的主要后果,可导致严重的并发症,如静脉曲张破裂出血、腹水或肝性脑病。为了使门静脉系统减压,门静脉血流通过自发形成的门体分流绕过肝脏进入全身的静脉系统。
-
SPSS的存在可包括脾肾静脉、胃肾静脉、肠系膜肾/腔静脉、脐旁静脉再通等。
-
长期以来,SPSS被认为是对门静脉高压的一种代偿性减压机制,但最近证据表明,SPSS不但不能充分降低门静脉压力,而且可以降低肝门静脉灌注。研究表明,在肝硬化患者中存在SPSS与更高的死亡率和更多的并发症相关,包括门静脉血栓形成、HE和胃肠道出血。
-
因此,SPSS的识别具有潜在的治疗意义。大的自发性门体分流栓塞已被发现可以降低脑病的发生率,提高生存率。
-
TIPS同时联合预防性栓塞大的SPSS能减少TIPS术后HE的发生,且没有其他并发症(TIPS失功或门脉高压症并发症的复发)或死亡率的风险增加。
小结
肝硬化门静脉高压常见的并发症,包括曲张静脉破裂出血、腹水或肝性脑?。?/font>HE)。在我国曲张静脉破裂出血、腹水较肝性脑病更为医护及患者所关注。然而反复肝性脑病同样给患者及社会带来巨大的健康及医疗的负担,而这些患者中,相当一部分自发性门体分流所致。
既往我国韩国宏教授团队的研究显示TIPS术中联合自发性门体分流道的栓塞能够有效减少术后肝性脑病的发生率。但对于出血及腹水的自发性门体分流所致反复肝性脑病的患者,通过药物治疗难以控制后通过何种手术治疗,尚无共识或指南。既往有病例报道使用BRTO或PRTO等封堵胃肾/脾肾分流道,但长期来看,存在门脉压力增高进而产生静脉曲张破裂出血或腹水加重的可能。
仔细评估术前CT可知,该患者的异常分流道的出口并不引流至肾上腺静脉,故难以通过常规BRTO途径栓塞,因而对于该患者团队仔细评估后决定采用TIPS联合异常分流道近端栓塞的方法。既往对于此类粗大分流道,无论是单纯使用可控弹簧圈或是弹簧圈联合组织胶水都存在栓塞效率或是安全性的不足,该患者使用血管塞封堵减缓血流后,在血管塞细密的网孔阻隔下能够有效防止补充栓塞的组织胶逃逸,进而获得良好的栓塞效果及效率。
术后患者的肝脏血管超声提示患者原本的离肝血流已逆转为向肝血流,1月后的CT复查显示门静脉较术前的纤细状态已得到明显恢复,间接证实TIPS分流并未进一步降低患者的肝脏灌注,其随访至今也未在发生肝性脑病。对于自发性门体分流所致的反复肝性脑病患者,相信TIPS+异常分流道近端栓塞是值得进一步探索研究的治疗方法。需临床进一步验证。
参考文献
Vidal-González J, Quiroga S, Simón-Talero M, Genescà J. Spontaneous portosystemic shunts in liver cirrhosis: new approaches to an old problem. Ther Adv Gastroenter. 2020;13:1320571904.
Simón-Talero M, Roccarina D, Martínez J, Lampichler K, Baiges A, Low G, et al. Association between portosystemic shunts and increased complications and mortality in patients with cirrhosis. Gastroenterology. 2018;154:1694–705.
Laleman W, Simon-Talero M, Maleux G, Perez M, Ameloot
K, Soriano G, et al. Embolization of large spontaneous por_x0002_tosystemic shunts for refractory hepatic encephalopathy:
a multicenter survey on safety and efficacy. Hepatology. 2013;57:2448–57.
Lv Y, Chen H, Luo B, Bai W, Li K, Wang Z, Xia D, Guo W, Wang Q, Li X, Yuan J, Cai H, Xia J, Yin Z, Fan D, Han G. Concurrent large spontaneous portosystemic shunt embolization for the prevention of overt hepatic encephalopathy after TIPS: A randomized controlled trial. Hepatology. 2022 Sep;76(3):676-688. doi: 10.1002/hep.32453. Epub 2022 Apr 15. PMID: 35266571.
He C, Lv Y, Wang Z, Guo W, Tie J, Li K, et al. Association between non-variceal spontaneous portosystemic shunt
and outcomes after TIPS in cirrhosis. Dig Liver Dis. 2018;50:1315–23.
▎专家介绍 ▎

周卫忠教授
江苏省人民医院介入科,医学博士,副主任医师,副教授,硕士生导师
中华医学会放射学分会介入学组青年委员,江苏省医学会介入医学分会委员,江苏省医学会肝病学分会委员,江苏省医学会介入医学分会肝胆介入学组组长,江苏省整合医学研究会介入医学分会副主任委员,江苏省研究型医院学会危险性消化道出血急救工作委员会副主委,江苏省研究型医院学会介入医学分会常务委员,江苏省抗癌协会肿瘤介入专业委员会常务委员,江苏省抗癌协会微创治疗专业委员会委员,江苏省肿瘤康复委员会青年委员,2021年度荣获“中国介入新锐”称号,擅长肝胆系统介入治疗,如肝癌、肝血管瘤、梗阻性黄疸、门静脉高压所致消化道出血和顽固性腹水、食道狭窄、胃十二指肠梗阻等;妇产介入治疗,如子宫肌瘤,子宫腺肌症,以及产后出血救治。

杨魏医生
江苏省人民医院介入放射科,医学博士,主治医师
主要从事肝胆肿瘤、肝硬化门脉高压及妇产疾病综合介入诊疗,曾于韩国峨山医学中心交流学习,省级课题一项。